特发性肺纤维化
【概述】
特发性肺纤维化(idiopathic pulmonary fibrosis,IPF)是一种原因不明、以弥漫性肺泡炎和肺泡结构紊乱终导致肺间质纤维化为特征的疾病。按病程有急性、亚急性和慢性之分,所谓Hamman-Rich综合征属急性型,临床更多见的则是亚急性和慢性型。欧洲学者多称本病为隐源性致纤维性肺泡炎(cryptogenic fibrosing alveolitis,CFA)。美国习用IPF。我国一度盛行CFA的名称,近来却多用IPF。本病多为散发,估计发病率3~5/10万,占所有间质性肺病的65%左右。见于各年龄组,而作出诊断常在50~70岁之间,男女比例1.5~2∶1。预后不良,早期病例即使对激素治疗有反应,生存期一般也仅有5年。
【诊断】
(一)诊断技术
1.影像学检查
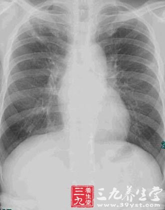
(1)常规X线胸片 摄片技术须注意穿透条件适当,应用中度增感屏,聚焦要小。早期肺泡炎X线上不能显示异常;随病变进展,X线表现出云雾状、隐约可见微小点状的弥漫性阴影,犹如磨玻璃。进一步进展则见纤维化愈趋明显,从纤细的网织状到粗大网织状,或呈网织结节状。晚期更有大小不等的囊状改变,即蜂窝肺。肺容积缩小,膈肌上抬,叶间裂移位。
(2)CT 对比分辨率优于X线,应用高分辨CT(HRCT)可以进一步提高空间分辨率,对于IPF的诊断,特别是早期肺泡炎与纤维化鉴别以及蜂窝肺的发现极有帮助。

(3)核素IPF常有肺泡毛细血管膜通透性增高。核素技术吸入99mTc-DTPA气溶胶测定肺上皮通透性(LEP)可见T1/2缩短,有助于早期发现和诊断间质性肺病,对于IPF并无特异性。
2.肺功能检查IPF的典型肺功能改变包括限制型通气损害、肺容量缩小、肺顺应性降低和弥散量降低。严重者出现PaO2下降和PA-aO2增宽。肺功能检查与影像学技术有助于早期诊断,特别是运动试验在影像学异常出现前即有弥散量降低和低氧血症。肺功能检查可作动态观察,对病情估价很有帮助,用于考核疗效可能也是有用的。同样,IPF的肺功能异常没有特异性,无鉴别诊断价值。
3.支气管肺泡灌洗 回收液细胞总数增高,而中性粒细胞比例增加是IPF比较典型的改变,对诊断有帮助。目前仍主要用于研究。
4.肺活检IPF早、中期的组织学改变有一定特点,而且间质性肺病病因甚多包括许多有明确病因可寻者,因此肺活检对于本病确诊和活动性评价十分有意义。首选应用纤支镜作TBLB,但标本小,诊断有时尚有困难。必要时宜剖胸活检。
(二)诊断的建立 根据典型临床表现和上述检查,IPF诊断能够成立。核心问题是排除其它间质性肺病包括原因已明或不明者。“特发性”或“隐原性”均用以表示原因不明,但不是所有原因不明和表现有肺纤维化的疾病都是IPF,如结节病。IPF是一个特定的疾病整体,虽然有可能它并不是一个均质单一的疾病。所以肺活检对IPF的诊断是必要的。但在不能接(耐)受创伤性检查者,只要有证据排除其它间质性肺病,建立IPF临床诊断亦是能够接受的。
(三)活动性判断 目前虽有很多研究,但是尚无确定指征。除肺活检组织学评价外,据认为67Ga扫描、肺上皮通透性测定、支气管肺泡灌洗液细胞数特别是淋巴细胞数以及介质测定对估计病变活动性有重要参考价值。虽然临床表现、X线和CT征象、肺功能变化与活动性并不完全平行,但病程长短、纤维化程度及有无蜂窝肺、肺功能损害轻重等对估计活动性仍是有帮助的。
【治疗措施】
在IPF激素治疗仍有争议。但是由于缺少肯定的或特异性的治疗,在活动性IPF、甚至不能确定活动性但无激素禁忌证者,激素仍被许多作者所推荐。泼尼松1.0~1.5mg/(kg·d)治疗2~3周,若能耐受,按此剂量持续3个月,再逐步减至0.25g/(kg·d),继续6个月,以后缓慢减至维持量。激素反应不佳或有禁忌时则加用或改用环磷酰胺。对激素治疗大约有1/5~1/4病人有客观指标改善,半数病人临床症状有所减轻。泼尼松亦可与硫唑嘌呤联合用于单一激素反应不佳者。IPF可能是肺移植好适应证之一,尚在深入研究中。
【发病机理】
IPF病因不明,发病机制亦未完全阐明,但已有足够证据表明与免疫炎症损伤有关。不同标本所显示的免疫炎症反应特征不尽一致,周围血所反映出的是免疫异常比较突出,而支气管肺泡灌洗液显示炎症反应为主,而肺局部组织的异常又有所不同。因此在评估各种研究资料需要考虑到这种差异。
表1IPF免疫炎症特征
综合近年来的研究,关于IPF发病机制及其过程概括如下:①某种未知抗原激活B细胞,产生Ig并形成免疫复合物,进而刺激和活化肺泡巨噬细胞。这一免疫反应在肺局部,如果肺泡壁B淋巴细胞也产生抗体,则肺泡壁的某些成分可能会被错误地识别为异物。因此有人认为IPF可视为自身免疫性疾病。但IPF患者T细胞的变化及其作用不明确,仅B细胞参予不足以证明其为自身免疫性疾病。②活化的肺泡巨噬细胞释放多种介质,除蛋白水解酶、胶原酶、反应性氧代谢产物和某些细胞因子直接损伤肺细胞、细胞外基质、基底膜等结构外,尚有与纤维化形成密切相关的介质包括纤维连接蛋白(fibronectin,FN)、肺泡巨噬细胞原性生长因子(alveolar macrophage derived growth factor,AMDGF)、血小板衍生生长因子(platelet derivedgrowth factor,PDGF)和胰岛素样生长因子(insulinlike growth factor,IGF)等,它们能吸附成纤维细胞,并刺激其增殖,以及介导胶原基质收缩。③在肺泡巨噬细胞释放的IL-8、TNF等介导下中性粒细胞向着肺泡趋化、聚集和活化,形成以中性粒细胞比率增高(20%)为特征的肺泡炎,而中性粒细胞炎症反应又释放一系列介质,引起或加重肺损伤与纤维化。④成纤维细胞增生和产生胶原是本病的重要环节和结局。正常人成纤维细胞生长存在精确的调控,如前列腺素E2、成纤维细胞移动抑制因子等均属于负调节因子。另在IPF发现一种编码PDGF的C-sis基因,与转移性病毒癌基因V-sis非常相似。因此IPF的发生是否代表了成纤维细胞的负调节失效、抑或成纤维细胞的
